前頭側頭型認知症

前頭側頭型認知症とは

大脳の前頭葉や側頭葉を中心に萎縮が見られ、性格変化や行動異常といった特徴的な臨床症状をきたす認知症です。
なお、同様に前頭葉と側頭葉が変性をきたす疾患として、進行性非流暢性失語と意味性認知症があり、これらを総称して「前頭側頭葉変性症」と呼びます。

前頭側頭型認知症の特徴

前頭葉は、思考や感情の表現、判断をコントロールするため、人格や理性的な行動、社会性に大きく関ります。
一方、側頭葉は、言葉の理解、聴覚、味覚のほか、記憶や感情をつかさどります。これらの障害により、下記のような特徴的な臨床症状をきたします。

  • 喜怒哀楽の感情表現が乏しくなる
  • 自発性や意欲の低下
  • 性格変化や反社会的行動(礼節や社会通念が欠如→万引きや盗食など)
  • 身だしなみに無頓着になる。不潔でも平気でいる。
  • 常同行動(同じものばかり食べ続ける、時刻表的日常など)
  • 初期には物忘れはほとんど見られない。
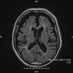
前頭側頭型認知症のMRI画像
前頭側頭型認知症のMRI画像