血管性認知症

血管性認知症とは

「血管性認知症」とは脳血管障害に関連した認知症の総称です。
主に以下のような特徴があります。

1. 認知症がある

  • 記憶障害+次の認知機能のうち2つ以上(見当識・注意力・言語・視覚空間機能・行動機能・運動統御・行為)
  • 機能障害は日常生活に支障をきたす(脳卒中による身体障がいを除く)

2. 脳血管障害がある

  • 神経学的所見(片麻痺・下部顔面神経麻痺・Babinski徴候・感覚障害・半盲・構音障害)がある
  • 画像診断で「多発大梗塞・重要な領域の単発梗塞・多発性の基底核ないし白質の小梗塞あるいは広範な脳室周囲白質の病変」などを認める

3. 上記の両者に関連が認められる

  • 明らかな血管障害後3か月以内に認知症が生じる
  • 認知機能が急激に低下するか、認知機能障害が動揺性または階段的に進行する

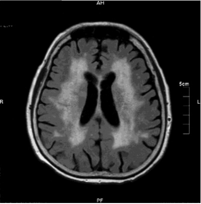
血管性認知症の画像

MRIによる画像

血管性認知症のMRI画像